前歯の色が気になるとのことで来院された患者さんです。
まず、ホワイトニングを行いご自身の歯の色を白くしました
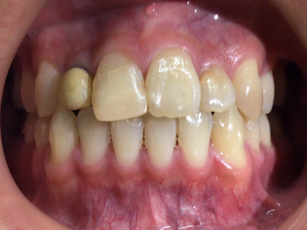
Before

After

そして、前歯の被せ物をやり替えていきます。
技工士が設計している様子です。


セラミックをセットした後がこちらです!

1日で以前の被せ物を外し、セットまで完了しました!
今回の患者さまは、ホワイトニング後に前歯4本をセラミックに変えました。
見た目も綺麗になり、笑顔がより素敵に見えるようになりました😁✨
セラミックやジルコニアは院内で作製しており、今までのような型取りも不要です!
1日で治療可能ですので、ぜひご相談ください✨
#宮崎#蓮ケ池#蓮ケ池歯科口腔外科#アライナー矯正#インプラント#ジルコニア#セラミック#ホワイトニング#しずか#スポーツ用マウスピース#親知らず抜歯#白玉点滴#宮崎市ホワイトニング#審美歯科#宮崎市審美歯科#宮崎市口腔外科

0985-78-5090