こんにちは‼︎蓮ケ池歯科口腔外科・周術期口腔ケアです✨
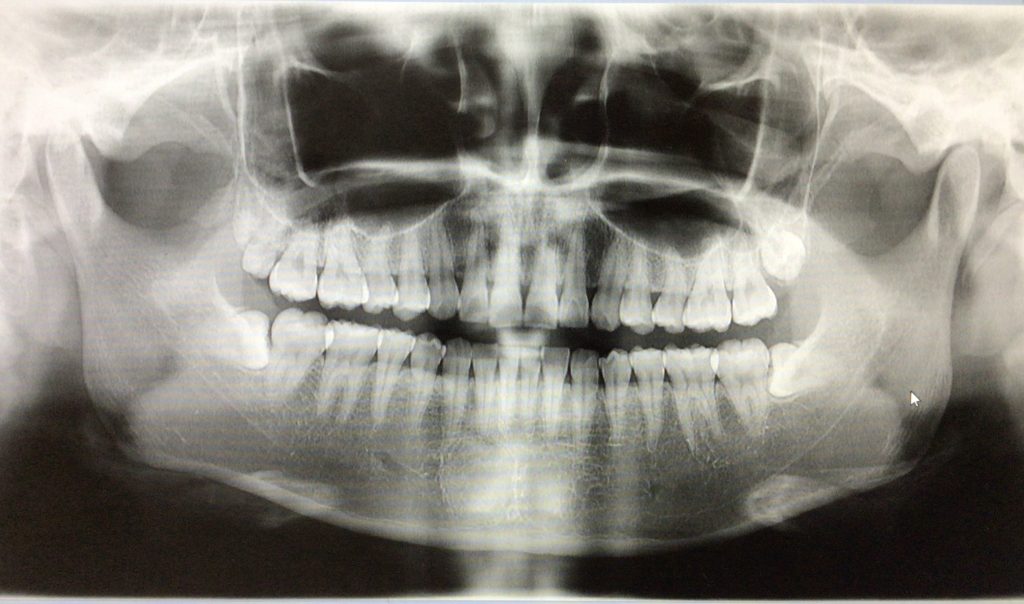
親知らずの抜歯について‥‥
予約したその日に1本ずつでも4本同時抜歯も可能です!主治医の先生にご相談ください
抜歯した当日は激しい運動・熱いお風呂に長風呂・飲酒などは血のめぐりがよくなって出血の原因になりますので控えてください
かかりつけ医があって親知らずの抜歯のみ希望の方、紹介状がない方でも受診していただけます

当院のホームページ(親知らず外来)もご覧ください
#宮崎 #蓮ケ池 #アライナー矯正 #インプラント #ホワイトニング #スポーツ用マウスピース #ジルコニア #セラミック #親知らず抜歯 #白玉点滴 #口腔外科 #親知らず #周術期口腔ケア #マイナンバーカード #顎関節症 #宮崎インプラント

0985-78-5090